Lung Cancer Screening
Early detection can save lives.
If you are a current or former smoker, you’re at risk for lung cancer. If doctors find the disease early, when the tumor is located only in the lungs, up to 75 percent of people survive five years or more. Many of these patients are cured.
The gold standard for identifying lung cancer early uses computed tomography (CT) scans. Henry Ford Health was part of a national study that found CT lung screening reduced the chance of dying from lung cancer by 20 percent, compared with chest X-ray screening.

National Lung Cancer Screening Day
In recognition of this day, Henry Ford is expanding access to those who are unable to schedule during the week. Take advantage of this convenient Saturday clinic.
Participating locations include: Detroit, Grand Blanc, Chesterfield, Jackson, New Baltimore, Novi, Southfield, Warren, West Bloomfield and Wyandotte.
Should I have a CT scan to check for lung cancer?
We work with you and your doctor to see if early-detection screening makes sense for you. Not all current or former smokers need a CT scan to screen for lung cancer. We recommend CT scans for people who:
- Are 50 to 77 years old
- Have no signs or symptoms
- Have smoked at least a pack a day for 20 years or more (20 pack-years), or the equivalent (for example, you may have smoked two packs a day for 10 years)
- Are a current smoker or one who has quit smoking within the last 15 years
- Have not had a chest CT scan within the last 12 months
Henry Ford’s Lung Cancer Screening Clinic
Henry Ford's specialized Lung Cancer Screening Clinic screens people to identify potential lung cancer as early as possible. The scan is quick and painless - lasting only 5 minutes and you don't even need to change your clothes.
The clinic brings patients together with pulmonologists, nurse practitioners, nurses and smoking cessation counselors. We work together with radiologists, oncologists, surgeons and other cancer specialists to help you manage your health condition and achieve your health goals.

Screening Provides Hope
As a former smoker and having witnessed her father suffer from lung cancer, Sherry took the advice of her primary care physician and scheduled a lung cancer screening.
What is involved with having a low-dose CT scan for lung cancer?
We offer a comprehensive screening process, centered on your needs. Generally, it involves:
-
CT Scan
The CT scan is quick and painless. It uses a combination of X-rays and computer technology to create detailed images. You don’t have to worry about receiving too much radiation during screening. Our low-dose CT scan technology means you’ll experience about a quarter of the radiation emitted by standard CT scans.
-
Scheduling
Most often, we will contact you to schedule a screening if you are eligible. You or your doctor also can call us to schedule a screening. Most insurance companies do not charge copay or deductible for the lung cancer screening. This screening is covered by Medicare and most private insurance plans at no cost or copay. Before scheduling, it is best to contact your insurance provider to determine if this screening is covered.
Informed decision-making meeting: The day of your screening, our dedicated nurse practitioners meet with a group of six to 10 patients at a time to explain the process and answer questions. Once we have answered all your questions, we’ll walk you to your screening.
-
Results and follow-up
We will review your scan results and send the findings to your primary doctor. Your doctor will discuss your results with you. We’ll also share any other concerns we identify, such as potential heart or blood vessel problems.
-
Additional tests
If the scan shows something suspicious, we may ask you to return for follow-up screening in a few months. If we spot an abnormality, our team can work with you to immediately schedule a positron emission tomography (PET) scan and other follow-up procedures.
-
Ongoing screening
Screening for lung cancer is a process, not a single test. Individuals who qualify should have a yearly CT scan as long as necessary. We usually recommend annual screening until people have gone 15 years without smoking tobacco.

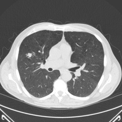
Lung cancer can be revealed by a low-dose computed tomography (LDCT) screening.
Get help to quit smoking
The No. 1 way to reduce your risk for lung cancer is not to smoke tobacco. If you already use tobacco, you can lower your lung cancer risk if you quit smoking.
Ready to quit? Our tobacco treatment services can start you on the journey to a tobacco-free life.
Are you eligible for lung cancer screening?
If you have questions about eligibility or want to learn more, call us at (313) 916-1275 or contact our team